+91 817-687-8600,     info.ads2012@gmail.com     info@advanceddentalsolutions.co.in

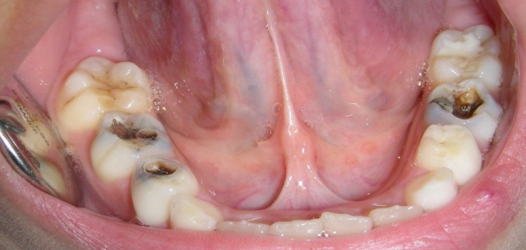
Prevention of dental caries

Dentalia smiles