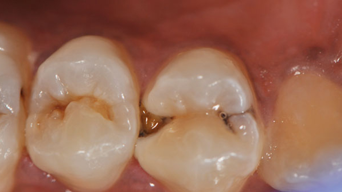
- Dental Caries is the teeth infection that result in dissolution and destruction of the calcified tissues of the tooth structure.
- It is essential to understand that cavitations in teeth (destruction of tooth surface,creating a ''CAVITY''or defect) are signs of bacterial infection.
- Carious lesions occur under a mass of bacteria capable of producing a sufficiently acidic environment to demineralize tooth structure.
- A gelatinous mass of bacteria adhering to the tooth surface is termed Dental Plaque.This plaque bacteria metabolize refined carbohydrates for energy and produce organic acids as a by-product.
- These acids may cause a carious lesion by dissolution of the tooth's crystalline structure.
- The main bacteria's involved in information of CAVITIS in the mouth are namely Streptococcus mutans serotypes.
Food Lodgement For Dental Caries
One of the main causes of food lodgment is the presence of ''gaps'' between teeth known as interdental spaces.
This gap can occur due to anatomical irregularities in the positioning of teeth/malocclusion, gum diseases, dental decay,partially erupted teeth,and other abnormal oral habits like tongue thrusting/thumb sucking.
Bad breath,bleeding gums and sensitivity are the usually reported symptoms by the patients.
If left untreated, it can lead to progressive reduction in the gum level/gingival recession, bone loss, loosen teeth/tooth mobility and ultimately result in tooth loos.
Prevention For Dental Caries / Tooth Decay / Cavities In Tooth & Food Lodgement :
Effective self-care before consultation with dentist can be achieved by proper rinsing with water or mouth rinse and use of interdental aids like Dental Floss,Interdental brushes. All pateints can feel effective dental care for dental cavities near me from Supreme Advanced Dental Solutions.