What do you mean by Smile Designing?
The process of providing a smile makeover to a patient's smile by using Cosmetic Dentistry procedures is called smile designing. The common procedures that dentists and dental surgeons perform for this process are :
-
Dental Veneers
-
Composite Bonding
-
Tooth Implants
-
Teeth Whitening
-
Laser gum contouring
The factors that a smile design team of dentists would look before deciding on the smile makeover are :
What is Included in Smile Designing?
There might be different improvements to be performed that are usually suggested to design a smile.
Tooth Colour :
The tooth's color and its shade are considerations that need to be taken before designing the smile using dental procedures. If the tooth colour is dark or discoloured then it might look like aged teeth. On the other hand, bright white teeth will provide a youthful appearance
The dentist might suggest the following for the makeover related to tooth colour:
Alignment & Spacing :
-
These are issues that crop up with alignment and spacing is crooked teeth, overlapping and gaps between teeth. They can be rectified straightening or aligning the teeth through Orthodontics, Invisalign and veneers.
Missing Teeth:
-
The absence of teeth can cause a negative feeling about the smile and can also actually affect the bite of the patient. There can be a collapse or change of bite due to movement if teeth into the space of the Missing Teeth. It can also be a risk for tooth decay. Missing teeth are usually replaced using dental implants, bridges and partial dentures.
Uneven, Chipped and Cracked Teeth:
Rejuvenation:
The right procedure for the treatment will be decided depending on the condition affecting the patient and also the requirement, as per the dentist.
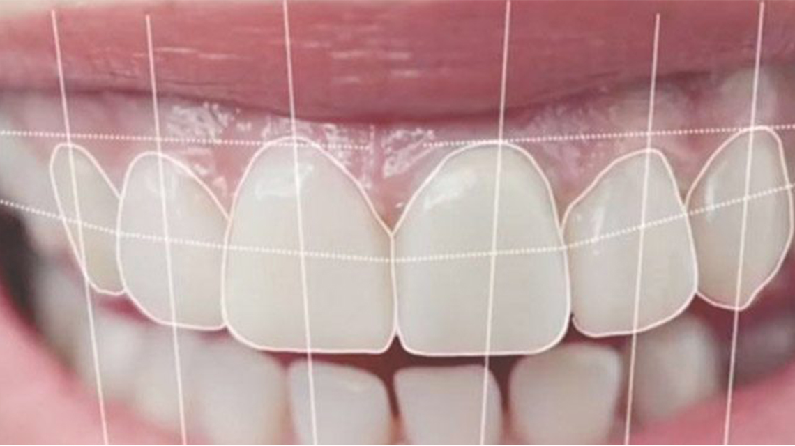
Smile Design's Aesthetic Factors
The Smile Design depends on the following factors:
Length of the Tooth
-
The longer the length of the teeth, more youthful the smile of the person. However, the regular wear and tear make the teeth grow shorter as you age. The gummy smile also provides the same effect.
-
Shorter teeth are usually treated by reshaping and lengthening the two front and central teeth either using porcelain veneers or composite bonding. The facial appearance will change as the teeth are lengthened.
-
The dentist will try to treat shorter teeth by reshaping and lengthening
Line Of Smile
Tooth Proportions
Tooth's Texture And Characterization
Many other latest technologically advanced diagnostic tools like digital smile designing are used today to assess the existing smile and arrive at a solution. This can be shown to the patient and approval can be sought and corrections can be Incorporated before starting.