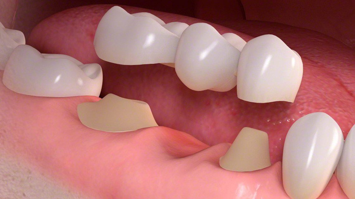
A bridge is used to stabilise the bite of a patient with a missing tooth or multiple missing teeth. Bridges prevent the surrounding teeth from moving or shifting into an empty space formed by a missing tooth. A missing tooth that is not replaced may cause surrounding teeth to become unstable and require removal, compromising oral health or change the shape of the face and diminish the beauty of a smile. Unlike partial dentures, bridges are permanent and do not have to be removed.
The missing tooth is replaced with an artificial tooth connected between two crowns, which are permanently cemented or bonded on the neighbouring teeth. Bridges can be used to replace a small number of missing teeth if the neighbouring teeth are sufficiently strong. The number of missing teeth, condition of the neighbouring teeth, condition of the supporting gums and bone are all important factors which are assessed prior to making a bridge.